+52 653 536 2369
Nuestro Trabajo :)
En Ungson Dental ofrecemos atención integral para cada etapa de la vida. Con tecnología moderna y un equipo multidisciplinario, aseguramos tratamientos efectivos, cómodos y estéticos.

Ungson Dental KIDS
Odontología Infantil ACTUAL 👆🏻 a la mano de +30 años de experiencia.
Equipo de OdontoPediatras.

Ungson Dental KIDS
Odontología Infantil ACTUAL 👆🏻 a la mano de +30 años de experiencia.
Equipo de OdontoPediatras.















KIDS
Atención especializada para bebés, niños, adolescentes y pacientes con necesidades especiales. Nuestra consulta se enfoca en la prevención, en devolver la seguridad y el brillo a las sonrisas, y en guiar el crecimiento orofacial.









Salud Bucal para Todos
Equipo de especialistas enfocado en brindarte un cuidado bucal preciso, seguro y de calidad.

Salud Bucal para Todos
Equipo de especialistas enfocado en brindarte un cuidado bucal preciso, seguro y de calidad.
Precisión en la alineación de tu sonrisa.
Dr. Francisco Ungson Soto
Ortodoncista










Estética & Función
Tu sonrisa es tú mejor inversión.


Dr. Rodrigo Angeles Ungson
Prostodoncia











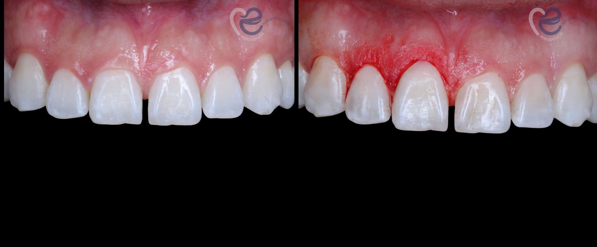
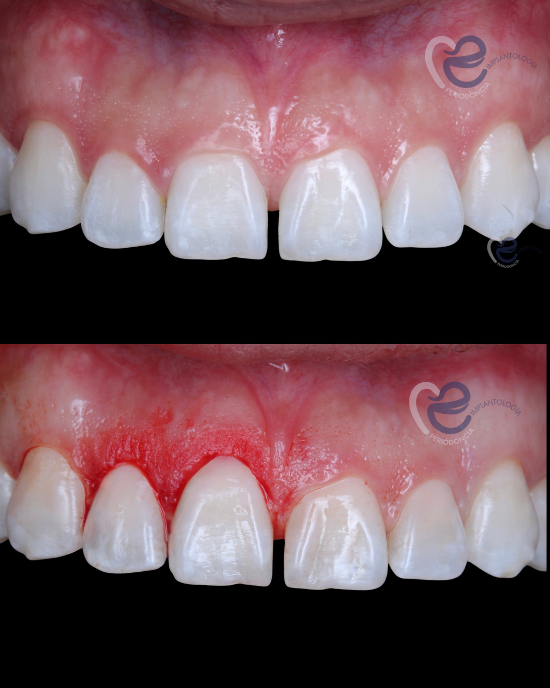
Cuidamos el Soporte de tus Dientes
Dra. Maria Elena Guerrero Murillo
Periodoncista




Cuidamos el Soporte de tus Dientes
Dra. Maria Elena Guerrero Murillo
Periodoncista












